服务热线
15623758226


| 名称: | anti-ATM antibody |
|---|---|
| 货号: | FNab10355 |
| 适应种属: | 人源 |
| 规格: | 100ug(微克) |
| 状态: | 液体 |
| 纯化方法: | 免疫亲和纯化 |
| 纯度: | 经DSD-PAGE分析,纯度大于95% |
| 宿主: | 兔 |
| 亚型: | lgG |
| 存储: | 用添加了0.02%叠氮化钠和50%甘油的PBS溶解,PH值7.3,可在-20℃下保存12个月(避免反复冻融) |
| 免疫原: | ataxia telangiectasia mutated |
| 免疫原别称: | A T mutated, AT1, ATA, ataxia telangiectasia mutated, ATC, ATD, ATDC, ATE, ATM, Serine protein kinase ATM, TEL1, TELO1 |
| 验证应用: | ELISA, IHC |
| 建议稀释比例: | IHC: 1:20 - 1:200 |
| UniProt ID: | Q13315 |
| 克隆性: | 多克隆 |
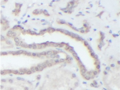
| 图像: | ![]() 将FNab10355(ATM抗体)以1:100稀释度,使用石蜡包埋的人肾组织切片进行免疫组织化学实验。 |